- Why Patients Consider
- Good Candidate
- Consultation with Dr Cheng
- The Procedure
- Results Permanent?
- Cost of Asian Eyelid Surgery
- Recovery and Aftercare
- Risks and Complications
- Asian Blepharoplasty FAQS
Why Patients Consider Asian Blepharoplasty
Asian eyelid surgery (blepharoplasty) aims to create a more distinct eyelid fold for those with a monolid or an indistinct crease. Unlike traditional blepharoplasty, this procedure is carefully tailored to suit the anatomical features of individuals with Asian heritage. Dr Cheng aims to preserve the patient’s natural, unique features while working to achieve the desired cosmetic outcome.
Patients may opt for this surgery if they wish to:
- Change the appearance of the eyes
- Create more symmetry
- Remove excess orbital fat tissue
- Achieve a more defined eyelid crease
The exact aims of the procedure are dependent on the patient’s aesthetic goals, their personal preferences, and the specific advice of Dr Cheng. Also, patients should understand that all surgeries are not the same, and what benefits one patient may not suit another. Due to this variability of procedure details and results, ensure that you clearly communicate your needs to us during your consultation.
Who is a Good Candidate?
A good candidate for this procedure is someone of Asian descent who wishes to adjust the shape of their eyelids. Typically, this might include removing excess tissue from the eyelids or creating a more defined crease.
However, there are other requirements for a good candidate. Patients undergoing Asian eyelid surgery (blepharoplasty) should be non-smokers or be willing to quit smoking before and after surgery. They should also be in good health and prepared to take time off from their regular duties to recover, including caring for their incisions and avoiding exercise during recovery. Patients should have reasonable expectations and understand the risks involved in their surgical procedure.
Consultation with Dr Cheng
Asian blepharoplasty, or Asian eyelid surgery, begins with a consultation between the patient and their chosen surgeon. Dr Cheng meets with future patients to discuss their specific goals for their procedure and other details that will inform a suitable plan for surgery.
At your consultation, you will have the opportunity to ask questions about the procedure, such as whether you might be suitable and what it can achieve for you. You can also discuss important information about the procedure process, such as the costs, risks, aftercare, and recovery time. Dr Cheng may also enquire about your health and lifestyle, such as your smoking status. This is because prioritising your health and well-being is important when planning surgery and determining if someone is a candidate.
After your consultation, you should have a clearer idea of what to expect from your procedure, the recovery period, and possible results.
The Procedure
Asian eyelid surgery (blepharoplasty) can be performed under local or general anaesthesia, depending on the patient’s preference and the complexity of the procedure. During the surgery, a carefully designed incision is made along the upper eyelid, allowing for the adjustment of the eyelid crease. This is known as an upper blepharoplasty. Lower blepharoplasty focuses on the lower eyelids. Whether you undergo upper blepharoplasty, lower blepharoplasty, or both will be determined during your consultation.
Dr Cheng endeavours to perform the surgery with careful precision and attention to the patient’s desired aesthetic. The procedure typically takes between one and two hours to complete.
Are the Results Permanent?
Asian eyelid surgery (blepharoplasty) is considered a permanent procedure, as it involves surgically modifying the eyelid tissue to create a more defined crease. For patients who choose the “non-incisional” technique, results are generally long-lasting; however, this approach may have a slightly higher likelihood of requiring revision compared to the incisional technique. It is important to note that while the surgery provides lasting changes, it does not halt the natural aging process, meaning the skin around the eyelids may continue to age, potentially leading to future revisions.
Cost of Asian Eyelid Surgery (Blepharoplasty)
The cost of this procedure is variable, based on the specifics of your procedure and aftercare. For this reason, we will be able to provide you with a more accurate estimate after having a personal discussion with you.
Costs of Asian eyelid surgery (blepharoplasty) can depend on the type of anaesthesia you require, as well as the duration and complexity of your surgery. We will also need to consider the facility costs and any required aftercare or medications. To learn more about the costs of Asian blepharoplasty, you may book an appointment with Dr Cheng.
Recovery and Aftercare
Recovery from Asian blepharoplasty is generally straightforward, with most patients returning to their daily activities within one to two weeks. However, this may depend on the patient’s speed of healing and the extent of their surgery.
Bruising and swelling are normal during the initial recovery period, and our team will provide comprehensive post-operative care instructions to help your recovery. These instructions might include sleeping on your back with your head elevated, avoiding exercise, and keeping your eye area protected. You should ensure that you have enough support during your initial recovery, as you will need plenty of rest.
Risks and Complications
Risks and complications are possible in any surgical procedure. Although qualified surgeons such as Dr Cheng endeavour to minimise risks, the risks cannot be eliminated completely. These risks might include:
- Bruising and bleeding
- Eye sensitivity or irritation
- Temporarily affected vision
- Infection
- Injury to eye structures
- Poor results
Our team at The Layt Clinic is committed to developing customised treatment plans that accommodate each patient’s needs, unique features, and cosmetic goals. If you have any concerns following your procedure, please contact the clinic for further information.
Book a Consultation with Dr Cheng at The Layt Clinic
If you’re considering Asian eyelid surgery (blepharoplasty), we encourage you to schedule a consultation with Dr Cheng at The Layt Clinic. Dr Cheng works closely with patients to fully understand their goals and provide guidance on achieving their desired outcomes. During your consultation, he will discuss your goals, evaluate your individual needs, and explain the procedure in detail, helping you make an informed decision.
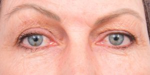
Blepharoplasty Before and After Photos
These are actual photos and have not been altered or digitally enhanced. Every patient is an individual and therefore final surgical results will vary from patient to patient.
Frequently Asked Questions
How much time will I need to take off work after Asian eyelid surgery (blepharoplasty)?
After Asian blepharoplasty, you will need to get enough rest, which means taking time away from work and other activities. Most patients find that they can comfortably return to work after 10 to 14 days.
How is Asian blepharoplasty different from other eyelid surgeries?
Blepharoplasty can be performed on people of many different ethnicities. However, Asian blepharoplasty refers to surgery performed on patients of Asian ethnicity according to their anatomical eyelid structure. These patients commonly desire more eyelid definition, especially at the upper eyelid crease. This procedure aims to cater to these desires while preserving the patient’s natural features.
What is double eyelid surgery (blepharoplasty)?
‘Double eyelid surgery’ is another name for Asian blepharoplasty. This is because patients from East Asian communities often have a naturally less defined upper lid crease – referred to as a ‘single eyelid’ or monolid. By reshaping the skin above the eye, surgeons can aim to create a more defined crease, or ‘double eyelid.’
When will the swelling subside?
Although most patients can return to work after two weeks, the swelling may take longer to resolve. Most swelling should resolve after three to four weeks.
Are the results permanent?
Since Asian eyelid surgery (blepharoplasty) involves surgically adjusting the eyelid tissue, it is considered a permanent procedure. However, it will not stop the natural ageing process, which means the skin around the eyelids will continue to age over time.



